Home Office Our Team Services Office Hours Smile Studio Favorite Links Dental Education Patient Information Contact Us Appointment Request
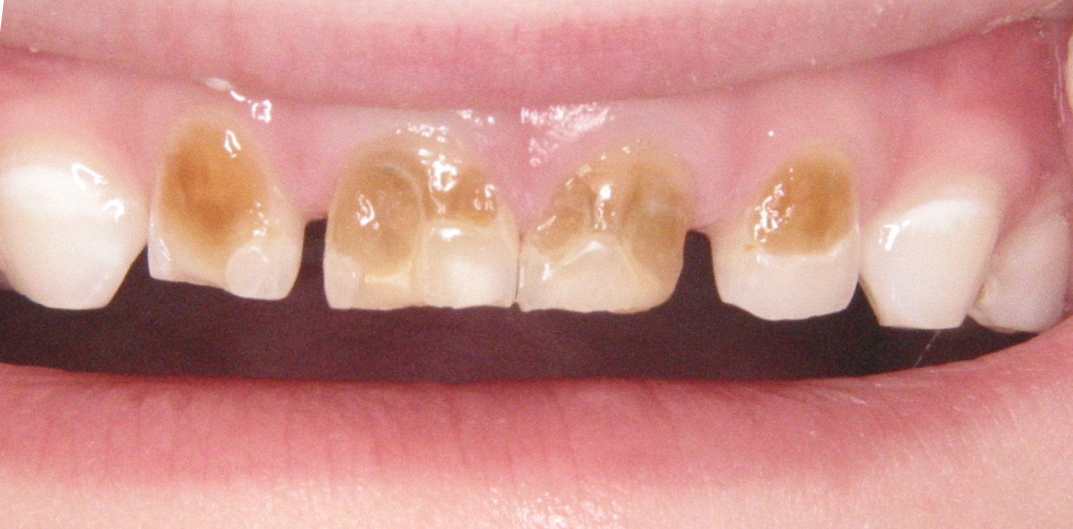
The following photos are some samples of our dental makeovers.
...even on children.
Please call us at 972-312-9898.